王某某一肺黏膜相关边缘区B细胞淋巴瘤
中医典型病案
【姓名】王某某
【性别】男
【年龄】73岁
【诊断】非霍奇金淋巴瘤,弥漫大B型。
【诊断日期】2013年08月08日
【末次随访】2018年03月16日
【现病史】2013年8月到中国人民解放军309医院就诊,查肺部CR片: 左肺上叶舌段占位( 3.1×3.8 cm2) ,右肺下叶占位( 1.3×2.4 cm2)( 见图 2) ,考虑恶性占位。行 CT 引导下肺穿刺活检病理( 病理号: 186488) :( 肺) 穿刺组织示弥漫增生的淋巴组织,细胞较为一致,结合免疫组化病变符合肺黏膜相关边缘区 B 细胞淋巴瘤( 见图1) 。患者因肿瘤较大,且伴顽固瘙痒,建议行化疗治疗,但患者因惧怕化疗不良反应而拒绝化疗。遂求诊于林洪生教授,寻求中药治疗。刻下症: 患者瘙痒剧烈,口服氯雷他啶、泼尼松等药抗过、外用倍氯米松止痒均无明显缓解,全身散在淡红色小丘疹,无疼痛,无咳嗽,无胸闷胸痛,因瘙痒无法入睡,二便正常,胃纳可。
瘤体大小
服药 1周后瘙痒减轻,皮疹减少,2个月后复查胸片提示肿瘤稍有缩小,之后继续按原方加减服用中药治疗,定期复查胸片提示肿瘤呈逐渐缩小趋势,同时瘙痒逐渐减轻明显,全身皮疹亦明显好转。2016年6月复查胸片,肿瘤明显缩小,仍有轻微瘙痒、已无皮疹。
A: 2013 年 8 月 23 日发病时,胸部 CR 片显示双侧肺肿物;
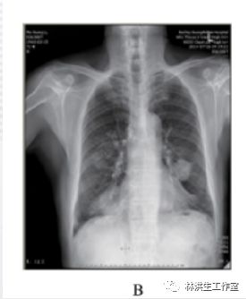
B:2014 年 7 月 26 日复查,经治疗显示双肺肿物缩小;
C: 2015 年 6 月 21日复查显示双肺肿物进一步缩小;
D: 2016 年 6 月 23 日复查双侧肺肿物较发病时明显缩小。
上一位经验分享:雷某 — 右肺上叶癌
下一位经验分享:王某某一非霍奇金淋巴瘤,边缘带B细胞淋巴瘤


